
Endodontics
Endodontics is the dental specialty focused on diagnosing and treating the tooth pulp and surrounding tissues, primarily through procedures like root canal therapy to relieve pain and preserve natural teeth.
An interest in endodontics
endodontics (root canal treatment)
Stuart has a particular clinical interest in endodontics (root canal treatment) and routinely carries out these procedures within general practice. His approach focuses on:
-
Careful case selection
-
Detailed radiographic assessment
-
Thorough cleaning and disinfection of the root canal system
-
High-quality restoration of treated teeth
​
Where a case is particularly complex or would benefit from specialist equipment or techniques, referral to a specialist endodontist is always recommended in the patient’s best interest.
01
RCT LL6

Brefore

After
02
RCT LR6

Brefore

After
03
RCT UR7

Brefore

After
04
RCT LL6

Brefore

After
05
RCT LR8

Brefore

After
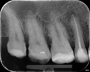
This gallery presents a selection of clinical radiographs (X-rays) from root canal treatments carried out by Stuart as part of his general dental practice. These images are shared to help illustrate the precision, planning, and attention to detail involved in modern endodontic care.
​
All images are anonymised and displayed for educational and illustrative purposes only.
Why quality root canal treatment matters
A successful root canal treatment aims to:
-
Remove infection
-
Relieve pain and inflammation
-
Preserve the natural tooth
-
Prevent the need for extraction
-
Maintain chewing function and appearance
​
Good radiographic outcomes reflect careful technique and help support long-term success when combined with an appropriate final restoration, such as a bonded filling or crown.
Important information for patients
TREATMENT OUTCOMES
Every tooth and every patient is different. The images shown here represent individual clinical cases and do not guarantee identical results in all situations. Treatment outcomes depend on many factors, including tooth anatomy, degree of infection, and long-term restoration and care.
​
If you have been advised that you may need root canal treatment and would like to discuss your options, Stuart will be happy to assess your tooth, explain the findings using your own X-rays, and guide you through the most appropriate treatment plan for your individual needs.